放射線部は診療放射線技師のチームです。レントゲン・CT・MRIなどの検査をおこなう部門です。
医師からの要望に応えるため、出来るだけ情報量の多い画像を提供すると共に、患者様に思いやりをもって接し、被ばく線量低減に努め、撮影・検査内容についてわかりやすく説明し業務を行うよう心がけています。
理念
- わたくしたちは、医療を求める人々に奉仕します。
- わたくしたちは、チーム医療の一員として行動します。
- わたくしたちは、専門分野の責任をまっとうします。
- わたくしたちは、人々の利益のために、常に学習します。
- わたくしたちは、インフォームド・コンセントを尊重し、実践します。
単純X線検査
いわゆるレントゲン検査といわれるものです。
胸部・腹部・骨などを撮影します。
フラットパネルディテクタ導入により、従来よりも検査時間が短縮され、待ち時間が短くなりました。また検査に必要なエックス線照射量も低減され、少ない被ばくで検査を受けることができます。
病棟ポータブル撮影
2021年2月より、新たに移動型X線撮影装置を導入しました。
病室にレントゲンの機械を運び、ベッド上安静が必要な患者様や手術後の患者様を撮影するために用います。
同時に導入したFPDを使用することにより、撮影した画像を瞬時に確認することができるため、人的および時間的な効率も大きく改善されます。
一刻を争う救急の現場において、次の処置に必要な情報がすぐに得られ迅速な対応が可能になります。
X線透視検査
X線を用いて人体を透視し、その様子をTVモニターで観察しながら写真を撮る検査です。人体の組織や臓器はそのままでは写らないため、造影剤(バリウムなど)を使用してエックス線画像上に描写します。エックス線検出器にフラットパネルディテクタを搭載した最新の装置で、従来よりも高解像度・低被ばくの検査が行えます。
X線CT検査
CTとは、コンピューター断層撮影法(Computed Tomography)の略で、X線を使用し、身体の断層像(輪切り像)を撮影する装置です。2021年12月に装置を更新し、シーメンスヘルスケア社製 SOMATOM X.cite 128スライスCTを導入しました。低放射線量での高画質の実現、Dual Energyによる造影剤量減少、AI技術搭載、ガントリーの大口径化などの特徴を備えています。
2021年12月 Intelligent CT(128スライスCT)を導入.png)
AIによる検査アシスト機能を搭載した世界初のIntelligent CT(128スライスCT)を導入
●AIによる検査アシスト機能により一貫性のある検査の提供が可能
●最大で半分の造影剤量で検査が可能
●一般撮影と同等の被ばく線量で検査が可能
●最新のDual Energyイメージングにより最新の検査の提供が可能
AIによる検査アシスト機能
天井に設置してあるAI技術を搭載した3Dカメラにより、寝台に寝ている患者様を装置が認識し、自動で適切な位置まで寝台を移動することが可能になります。自動ポジショニングにより、効率的に最適なポジショニングを行えます。
侵襲なCT検査①
従来の装置と比較して造影剤の使用量が最大で50%低減*1が可能になります。造影剤の使用量を減らすことで従来検査が難しかった被検者の検査を行うことや、副作用の軽減にもつながります。
最大50%低減*1
*1:検査の内容・目的によっては適応できない場合もありますが、従来の装置と比べても少ない造影剤量で検査を受けていただけます。
低侵襲なCT検査②
4.png)
最新の被ばく低減技術によりレントゲン検査と同等の被ばく線量*2で検査を受けていただくことが可能です。CT検査は情報量が多く、特に肺がん検診での有用性の報告が多数出てきています。また内耳・副鼻腔領域、整形領域などにおいても一般撮影と同等の線量で検査を受けていただくことが可能です。
*2:検査の内容・目的によっては適応できない場合もありますが、従来の装置と比べても少ない被ばく線量で検査を受けていただけます。
最新のCT検査
最新のDual Energyイメージングにより、これまで他のモダリティで追加検査が必要だった症例がCTで検査・診断が可能です。
腹部領域
腎結石の成分評価が可能
【腎結石】
腎結石は、結石の主成分によって治療方針が異なります。これまでは結石の有無、形状評価は可能でしたが成分までは判断することは不可能でした。
しかし、Dual Energyイメージングで撮影することで結石に成分評価が可能となり、その後の治療方針判断に使用することができます。
整形領域
MR禁忌や体動のある患者への対応
DE Bone Marrowは、DECT画像から骨髄浮腫の有無を評価することができる。検査時間も短いため体動による画質低下も少なく、新鮮骨折と陳旧性骨折の鑑別を簡便に行うことが可能である。本症例では、DE Bone MarrowとMRIの異常所見は一致しており、DE Bone Marrowの正確性を表していると思われる。DE Bone Marrowは整形外科からの評価も高く、椎体圧迫骨折の評価において、DECTが第一選択となっている。
高精細・短時間検査・低侵襲を可能にするCT装置
頭部CT
外傷による頭蓋内の血腫、脳腫瘍の大きさや位置、良性か悪性か、脳血管障害(脳出血、脳梗塞、くも膜下出血など)の位置や障害の範囲がわかります。
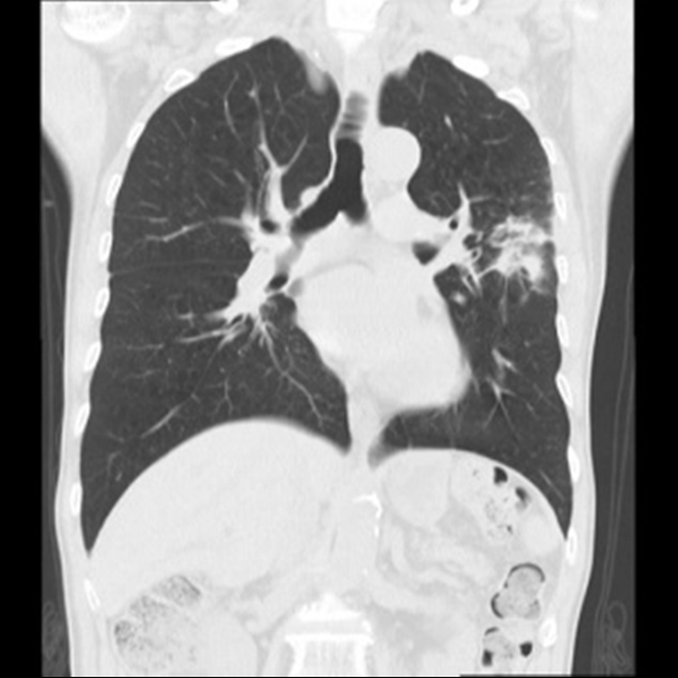
胸部CT
肺や気管、気管支などの胸部病変、胸部X線写真では見つけることが難しい小さな病変、肺炎や肺癌などの病気を見つけることができます。
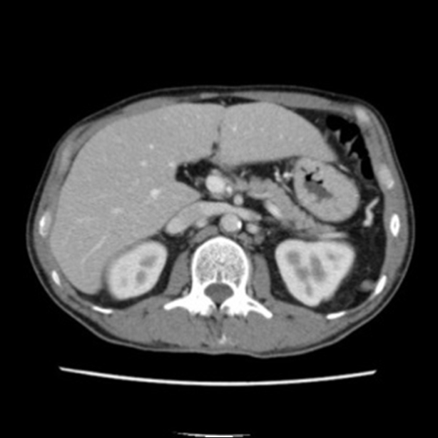
腹部CT
肝臓や膵臓や腎臓、腸などの腹部病変、突然の腹痛、腸閉塞などの消化管が原因の疾患、癌などの病気を見つけることができます。
骨CT
X線写真では見つけることが難しい骨折や手術適応の判定、手術方法の決定、骨癒合評価、形態把握などをすることができます。
造影CT
造影剤という薬を注射して撮影を行います。撮影する部位や方法の違いで、何回か撮影することがあります。痛みの原因を調べたり、腫瘍が良性か悪性かの精査、血管の狭窄や動脈瘤を見つけることができます。造影剤が入ると血管や腫瘍などがはっきりと写るようになります。 手術前の評価にも使用します。
腹部大動脈瘤手術前
腹部大動脈瘤手術後
冠動脈CT検査
当施設では、これまでに約5000件の冠動脈CT検査を行ってきました。
心臓カテーテル検査に比べて、入院の必要もなく外来で行え、費用も安く、心臓血管病の早期発見、早期治療に大変有用な検査になっております。現在当施設では待ち時間が少なくスムーズに検査が行えるため(当日の食事制限はあります)、当日の検査も可能となっております。万が一、検査において有意狭窄所見を認めた場合、心臓カテーテル検査などのバックアップ体制も整っております。
検査時間:20~30分(※準備時間含める)
造影剤使用量:30~50ml(※従来の約半分)
息止め時間:10秒×2回(※別途数回の練習あり)
費用:4,000~4,500円(※1割負担時)
12,000~14,000円(※3割負担時)
MRI検査
MRI(磁気共鳴画像装置)とはMagnetic Resonance Imagingの略で、非常に強い磁石と電波を利用して体の内部の状態を検査します。そのため放射線被ばくの心配はありません。MRI検査も身体の断層像を撮影する装置ですが任意の断面(縦・横・斜め切り等)を撮影することができます。 また造影剤を使用せずに、血管を描出することもできます。
最高クラスの画質を描写するMRI検査装置
頭部MRI検査
CTとは違い、放射線を使わずに脳梗塞や脳出血などの頭部の病変を調べる検査で、血管も同時に撮像することができます。造影剤を使用せずに脳動脈瘤などの異常も捉えることができるため、身体への影響の少ない検査になっております。
腹部MRI検査
肝臓や胆道系、前立腺や婦人科領域を描出するのに優れた検査です。10~20秒ほどの息止めをお願いすることがあります。また、検査の為に4時間前からの絶食をお願いすることがあります。
脊椎MRI検査
椎間板ヘルニアや圧迫骨折など、脊髄・脊椎の病変の診断をするために行う検査です。背中の痛みだけではなく、上肢や下肢のしびれの原因を調べるためにも用いられます。
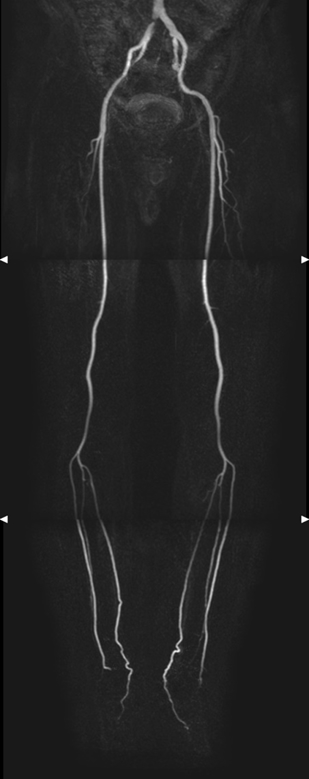
非造影血管MRI検査
下肢の動脈が詰まる閉塞性動脈硬化症などの動脈硬化性疾患を造影剤を使用せずに撮像することができます。
四肢・関節MRI検査
靭帯損傷や骨折など、関節病変の診断をするために行う検査です。また、軟部腫瘤の検査も行うことができます。
心臓MRI検査
心臓MRIは冠動脈だけでなく、シネMRIによる左室機能の診断、遅延造影MRIによる梗塞と線維化の診断、負荷心筋血流MRIによる心筋虚血の診断など、機能診断や組織性状評価の面で優れている検査であります。心臓を総合的に評価できる大変有用な検査です。
MRI検査の注意事項
体内金属について
1.下記に当てはまる方は当院ではMRI検査ができません。
- 心臓ペースメーカー(MRI非対応)
- 深部脳刺激装置(DBS)
- 磁石式義眼、インプラント
- 迷走神経刺激装置
- 人工内耳、中耳
- 埋め込み式除細動器
- 磁石式人工肛門
- 体内埋め込み型インスリンポンプ
- 事故等による眼窩内の金属片
以上の体内金属が体内に挿入されている方は、当院では検査が出来ません。当てはまる場合はMRI検査の問診時に主治医にお申し出ください。
2.下記に当てはまる方は当院ではMRI検査をできない場合があります。
- 脳動脈瘤クリップ
- 人工心臓弁
- 圧可変式シャントバルブ
- 血管内コイル
- 磁石式義歯
- 歯のインプラント
- ステント
- 古い年式の人工弁
- 内視鏡治療によるクリップ
- 下大静脈フィルター
- 整形外科での人工関節
- 針治療の置き針
- 金属片などの体内金属
- 避妊リング
以上の体内金属、磁性体が体内に挿入されている方は、当院では検査ができない場合があります。当てはまる場合はMRI検査の問診時に主治医にお申し出ください。また、体内金属、磁性体が体内に挿入されている場合は、検査可能か不可かの判断のために、手術をされた医療機関に以下の内容の確認をお願いすることがありますのでご了承ください。
当該医療機関への確認事項
- 手術をされた年月
- 部位
- 製品名と製造メーカー
- 1.5テスラMRIで検査可能か否か
血管造影検査
カテーテルと呼ばれる細い管を血管内に挿入し先端を目的部位(脳血管や心血管など)にすすめ、造影剤を注入し血管を撮影します。また、狭窄した血管を広げたり、腫瘍に対する塞栓術等も行います。
当院では2台の血管撮影装置を設置しています。
- 循環器用血管撮影装置
冠動脈を始め頚動脈、末梢血管まで広範囲に撮影可能な血管撮影装置 - 脳・腹部用血管撮影装置
脳・腹部領域疾患の検査・治療に有効な血管撮影装置
心血管造影検査
心臓カテーテル検査は、動脈から挿入したカテーテルの先端を冠状動脈の入り口まで進め、造影剤を注入して心血管を撮影します。血管をリアルタイムに撮影することができます。心臓の血管が狭い場合には、バルーンと呼ばれる風船状のカテーテルで血管を拡げたり、ステントと呼ばれる金網の筒で血管を補強する治療を行います。
脳血管造影検査
脳血管造影検査は、脳出血の原因となる動脈瘤や脳動静脈の奇形などの手術の前に、その状態を詳しく観察したり、脳腫瘍の近くを重要な血管が通っていないか、腫瘍に血管が食い込んでいないかなどを調べます。また、バイパス手術の観察にも有用な検査です。
下肢血管造影検査
下肢血管造影検査は、下肢に行く血管にカテーテルを進め、カテーテルから造影剤を注入して撮影することで、下肢の動脈が狭くなっていないかなどを観察する検査です。
下肢の血管が狭い場合には、バルーンと呼ばれる風船状のカテーテルで血管を拡げたり、ステントと呼ばれる金網の筒で血管を補強する経皮的血管形成術とよばれる治療を行います。
骨密度検査
骨密度検査とは、骨量(骨塩量)と呼ばれる骨の強さを測定する検査です。骨粗鬆症の診断や、骨折の危険性を知ることができます。当院では骨粗鬆症診断基準(2011年版)で推奨されているDEXA法を用いて、主に腰椎と股関節の骨量を測定しています。
Q&Aのコーナー
CT検査の料金は?
| 検査内容 | 診療総額 | 負担割合3割 | 負担割合1割 |
|---|---|---|---|
| 単純CT検査 | 約20,000円 | 約6,300円 | 約2,000円 |
| 造影CT検査 | 約35,000円 | 約10,500円 | 約3,000円 |
| 冠動脈CT(造影) | 40,000円~47,000円 | 12,000円~14,000円 | 4,000円~4,700円 |
MRI検査の料金は?
| 検査内容 | 診療総額 | 負担割合3割 | 負担割合1割 |
|---|---|---|---|
| 単純MRI検査 | 約26,000円 | 約7,800円 | 約2,600円 |
| 造影MRI検査 | 35,000円~42,000円 | 10,000円~12,600円 | 3,500円~4,200円 |
| 冠動脈MRI(造影) | 33,000円~47,000円 | 10,000円~14,000円 | 3,300円~4,700円 |
検査の特徴は?
| 放射線被ばく | メリット | デメリット | |
|---|---|---|---|
| レントゲン | あり | 安価 簡便 |
被ばくがある 立体的に評価できない |
| CT | あり | 短時間 広い範囲が撮影できる |
レントゲンと比べると高価で被ばくが多い |
| MRI | なし | 色々な撮りかたができる 組織的診断が可能 |
長時間 音がうるさい 動きに弱い |
所要時間は?
CTは単純検査であれば5分、造影検査では15分ほどで行うことができます。
MRIは単純検査であれば20分、造影検査では40分ほどで行うことができます。
*造影の検査は事前に血液検査の結果が必要になります。
検査での放射線被ばくは心配ありませんか?
当院で使用される放射線検査は、一般的にレントゲンと呼ばれるもの、CT装置、X-TV装置、骨塩定量装置、血管造影装置になっています。そのどれもが、放射線被ばくに関しては基本的に心配いりません。
私たちが使用する放射線(X線)は、身体に影響が出ると言われているよりもはるかに少ないものを使用しています。
そして、必要な場所にのみ最小限のX線量で病気を見つける検査になっていますので、放射線による影響をご心配されることはありません。
放射線被ばくの早見図をご参照ください。

有所得資格一覧
| X線CT認定技師 | 1名 |
|---|---|
| 血管撮影・インターベンション専門診療放射線技師 | 1名 |
| 救急撮影認定技師 | 1名 |
| 放射線管理士 | 1名 |
学会発表・講演会・論文実績
【学会発表】
○2024年度
- 岸本和輝:第65回全日本病院学会,京都,2024/9/28-9/29
○2022年度
- 松原直仁:第63回全日本病院学会,静岡,2022/10/1-10/2
○2019年度
- 山田竜徳:第61回全日本病院学会,愛知,2019/9/28-9/29
○2016年度
- 山田竜徳:第58回全日本病院学会,熊本,2016/10/8-10/9
【講演会】
○2023年度
- 情報はありません。
【論文】
○2023年度
- 情報はありません。




2.png)
5.png)



















